Dr Hawkins’ office never fails to impress me! Whether I am just getting a cleaning or have a dental concern, they take care of me quickly and painlessly. Everyone is so nice, friendly and professional. I used to have a fear of going to the dentist but I no longer do, thanks to Dr. Hawkins and his staff. I highly recommend them.
Browse Our Beautiful Smile Gallery in Zanesville, OH
When you visit Hawkins Complete Dental Service, we’ll not only transform your smile, we’ll help you gain a brand new sense of self. Because when you feel confident about your appearance, it seems like anything is possible.
We invite you to view our Zanesville, OH smile gallery and see the transformations we’ve performed over the years. Dr. Hawkins and our team are dedicated to giving you the same excellent dentistry we’ve given every one of our patients.
It’s time to feel happy about smiling again! Call 740-214-1301 for an appointment to become a new addition to our smile gallery. You can also check out our patient testimonials to see why patients love visiting us!
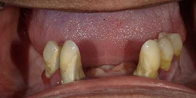
Before
After
Before
After
Before
After
Before
After
Before
After
Before
After
Before
After
Before
After
Before
After
Before
After
Before
After
Before
After
Before
After
Before
After
Before
After
Before
After
Before
After
Before
After
Before
After
Before
After
Before
After
Before
After
Before
After
Before
After
Before
After
Before
After
Before
After
Before
After
Before
After
Before
After
Before
After
Before
After
Before
After
Before
After
Before
After
Before
After
Before
After
Before
After
Before
After
Before
After
Before
After
Before
After
Before
After
Before
After
Before
After
Before
After
Before
After
Before
After
Before
After
Before
After
Before
After
Before
After
Before
After
Before
After
Before
After
